Implantology


Implantology

Zahnarztpraxis Dr. med. dent. Lange. Bad Homburg, Ober Eschbach

One of my fields of expertise is implantology. After successfully completing a structured 3-year advanced training course at the German Society of Implantology, I graduated as a specialist for dental implants.

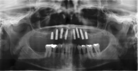
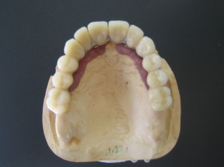
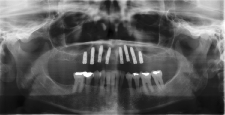
Implants have established themselves as the most durabledental prosthesis - they help not only to create a beautiful smile and aesthetics but also to improve the quality of life. An implant takes the function of a tooth root and forms the pillar for the dentures. It is invisible in the jaw and firmly anchored. For the implants only pure titan material is used, since this material has a high body tolerance and no allergies are known. One of the greatest advantages is that the healthy teeth don't need to be grinded down to fix a bridge or a removable prosthesis. With implants the patient doesn't feel any difference to his natural teeth.

Dental implants are as close to the original condition as no other restoration. The new tooth roots inteosseograte after implantation. The implanted screw serves as the foundation for single tooth crowns or bridges. Prostheses can also be securely fixed using implants. They do not have any restrictions in everyday life, such as laughing, talking or chewing.

Doctor's office contact

  • aa
Doctor's office address